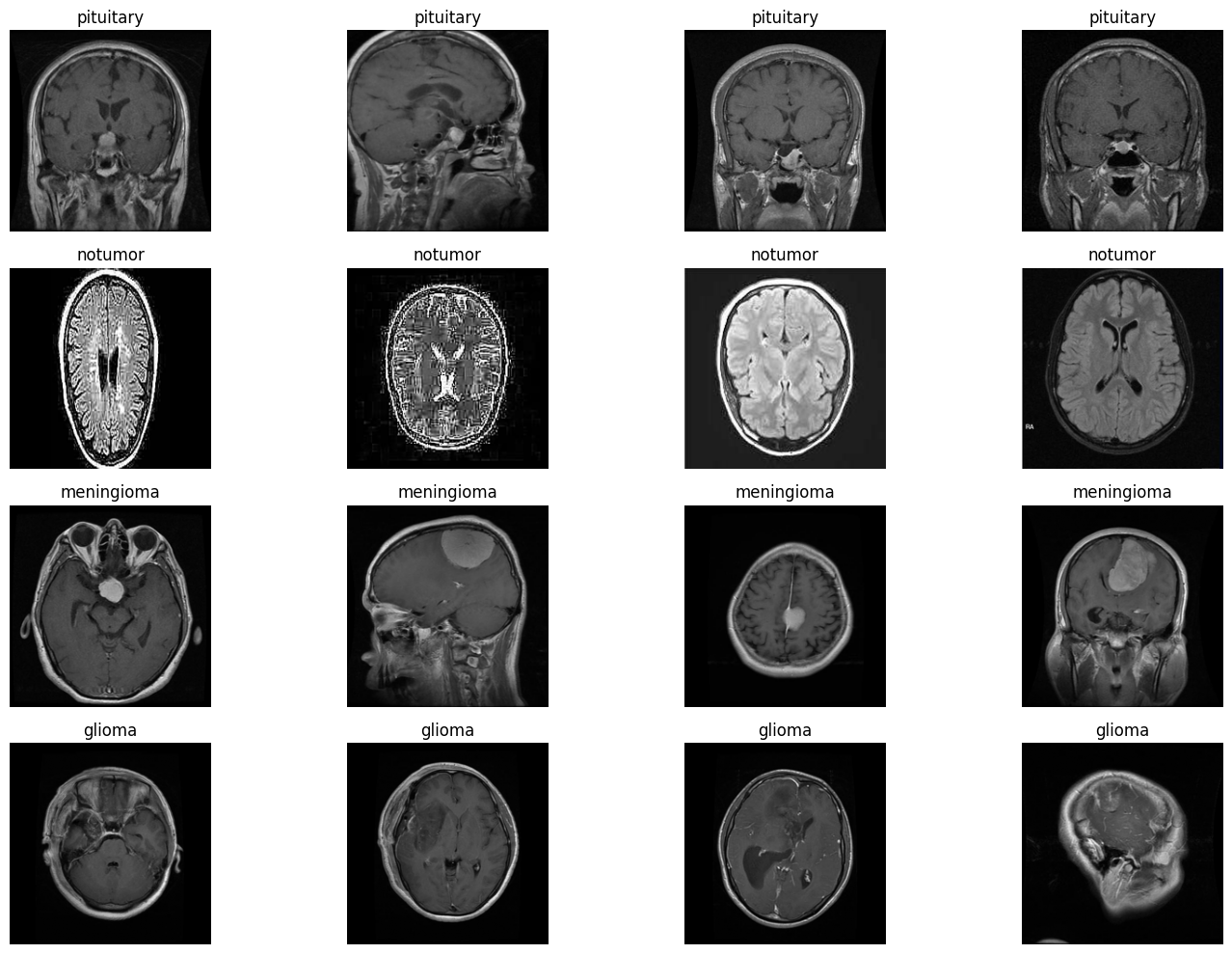
Brain MRI Detection with Interpretability
vit
medical-imaging
attention_rollout
grad-cam
Deep Learning Concepts
machine-learning
tutorials
deep-learning
Deep Learning in Pytorch
machine-learning
tutorials
deep-learning
pytorch
svhn
Pytorch Grad!
machine-learning
tutorials
deep-learning
pytorch
Demystifying AdaBoost
boosting
machine-learning
ada-boosting
sklearn
Boosting Comparison
boosting
machine-learning
gradient-boosting
ada-boosting
sklearn
Understanding Gram-Schmidt
vectors
machine-learning
statistics
numpy
No matching items





